更新時間:2025-10-22
點擊次數:27
絲氨酸/蘇氨酸激酶家族是一類通過磷酸化修飾調控細胞生命活動的關鍵蛋白激酶,廣泛參與信號轉導、代謝調控、細胞周期和應激響應等重要生理過程。該家族包含多個亞類(如AGC、CaMK、CMGC等),通過級聯反應傳遞外界信號,其異常活化與癌癥、神經退行性疾病等密切相關。FASTK是該家族的特殊成員,定位于線粒體,兼具激酶活性和RNA結合能力,主要調控線粒體RNA代謝和基因表達,在細胞能量代謝和凋亡調控中發揮獨特作用。本期為您推薦明星抗體K109635P,用來檢測FASTK的存在,再合適不過,快跟小編一起深入了解一下吧!
明星抗體三維數據卡
名稱 | ActivAbTMAnti-FASTK Polyclonal Antibody |
編號 | K109635P |
交叉反應 | Human Mouse |
應用 | WB;IHC;IF |
推薦稀 釋比例 | WB 1:1000-3000. IHC 1:50-200. IF 1:50-200. |
抗體靶標
FASTK(Fas-Activated Serine/Threonine Kinase)基因是一個編碼絲氨酸/蘇氨酸蛋白激酶的基因。它位于人類染色體16q22.1上,其編碼的蛋白質屬于FASTK激酶家族,這個家族的特點是其成員通常包含保守的激酶結構域,并且多數與線粒體功能密切相關。FASTK可通過調控線粒體轉錄本穩定性影響能量代謝,在細胞凋亡和應激反應中起關鍵作用。新研究發現其異常表達與線粒體功能障礙疾病及腫瘤進展相關,可能成為新型治療靶點。
蛋白分子量
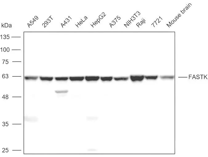
FASTK蛋白質的標準序列549個氨基酸,理論分子量約61kDa,實際蛋白分子量約63kDa(參考Western blot驗證結果)。

圖 1 K109635P-Western blot驗證
亞細胞定位
FASTK定位于線粒體。

圖 2 FASTK的亞細胞定位示意圖

圖 3 K109635P-Immunofluorescence驗證
組織分布
FASTK在代謝活躍器官、神經與內分泌系統、增殖活躍組織和腫瘤組織中表達較高。

圖 4 K109635P-Immunohistochemistry驗證

圖 5 K109635P-Immunohistochemistry驗證
生物學功能
FASTK作為線粒體功能的關鍵調控因子,通過其獨特的激酶活性和RNA結合特性參與多種細胞進程。它能夠特異性識別并結合線粒體編碼的mRNA,調控其穩定性及翻譯效率,從而精細調節線粒體呼吸鏈復合物的生物合成。在應激條件下,FASTK通過磷酸化下游靶蛋白激活保護性信號通路,維持線粒體膜完整性并抑制過度凋亡。此外,FASTK還參與線粒體DNA的損傷修復過程,其功能缺陷可導致能量代謝紊亂和活性氧累積,進而引發神經退行性病變、心肌病及腫瘤代謝重編程等病理改變。
數據庫分享鏈接
hope we have a bright summer
SwissProt: | Q14296 Human | |
SwissProt: | Q9JIX9 Mouse | |
SwissProt: | Q5XIG7 Rat | |
產品星推薦就到這里啦!
相關產品
貨號 | 名稱 |
K109635P-Ag | ActivAbTMFASTK Antibody Blocking Peptide |
VT030884 | pExpress-1-Fastk(rat) |
VT027888 | pCMV-SPORT6-Fastk(mouse) |
VT020011 | pExpress-1-FASTK(cattle) |
VT013567 | pOTB7-FASTK(human) |
SE134 | ActivAbTM羊抗兔IgG-HRP |
SF131 | ActivAbTM羊抗小鼠IgG–FITC |
K1034G-AF594 | ActivAbTM SAlexa Fluor 594 標記的羊抗兔IgG |
SR131 | ActivAbTM ActivAbTM 羊抗小鼠IgG-RBITC |
PR1910 | 彩虹180廣譜蛋白Marker(11-180KD) |
PC0020 | BCA蛋白濃度測定試劑盒 |
SWBT-001A | ActivAbTM Western blot通用試劑盒(兔) PVDF膜-0.45μm |
SIHCT-001 | IHC通用試劑盒(兔/小鼠) |
PE0010 | ECL Plus超敏發光液 |
P1200 | SDS-PAGE凝膠制備試劑盒 |
SP0041 | 通用SP檢測試劑盒 |